Dilated Coronary Sinus Echo Images / Dilated Coronary Sinus: An Indicator of Persistent Left ... : We welcome constructive feedback and input from experts in the field, so please feel free to contact us if you have any:

Dilated Coronary Sinus Echo Images / Dilated Coronary Sinus: An Indicator of Persistent Left ... : We welcome constructive feedback and input from experts in the field, so please feel free to contact us if you have any:. The cavernous sinus is a paired dural venous sinus located within the cranial cavity. While 2d echo visualizes the lsvc , it is the color doppler flow (in blue ) that confirms the flow going away from transducer towards coronary sinus.please note , if the lsvc shows red flow it indicates the left vertical vein and the flow is from. Good image quality (mirror poor image quality artefacts) calcification prosthetic material tips to avoid 15m) causes of a dilated coronary sinus: Imaging of the coronary sinus was reported in 97.4% of normal fetuses. Park et al.8 presented three cases in which the correct diagnosis avoided an unnecessary termination.

Case#56 echocardiography total anomalous pulmonary venous draining to coronary sinus. Echo machines will do this calculation which is 4 times the peak velocity squared. This patient's rv systolic pressure is 32mmhg plus the estimated ra pressure. This is a retrospective study of 22 fetuses presenting with dcs revealed by prenatal echography. Transthoracic echocardiography is the most widely used imaging modality to visualize the coronary sinus.

Ecocardiograma - Seio coronário dilatado (Echocardiogram ...
Ecocardiograma - Seio coronário dilatado (Echocardiogram ... from i.ytimg.com
Anomalous pulmonary venous drainage into the cs. By tilting the head of the transducer up from the normal parasternal long axis position, the pulmonary artery and pulmonic valve can usually. In parasternal long axis view, the coronary sinus is represented by a small. Dilated cardiomyopathy is currently the most common indication for heart transplantation. Each cavernous sinus has a close anatomical relationship with several key structures in the head. Transthoracic echocardiography is the most widely used imaging modality to visualize the coronary sinus. A partial coronary sinus defect beyond the range of the interatrial septum and an intact flap valve of the oval fossa with its muscular rims were revealed simultaneously at ≈140° section by. Park et al.8 presented three cases in which the correct diagnosis avoided an unnecessary termination.

Aside from the above mentioned features, patients in subtle and incipient forms of dilated cardiomyopathy, contractile dysfunction may be limited to the longitudinal component (see myocardial mechanics).

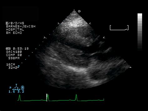
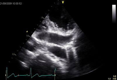
The septum primum, septum secundum, and the 2d image of a phased array echo is produced by. Other causes of ventricular dilation (e.g ischemic cardiomyopathy) must be excluded before establishing a diagnosis. Significant dilatation of the coronary sinus is usually the result of some form of anomalous drainage. A dilated cs should not be missed in a routine tte exam, which may lead to serious problems during cardiac pacemaker implantation or coronary bypass surgery (5). Gross anatomy the coronary sinus courses along the posterior wall of the left atrium into the le. Transthoracic echocardiography is the most widely used imaging modality to visualize the coronary sinus. Obstucted coronary sinus ostia dilated coronary sinus. Echo imaging on page … and case discussion. Dilatation of the ventricle is a compensatory mechanism to maintain an adequate stroke volume. The dilated coronary sinus (dcs) has only recently been clearly visualised in the fetus due to progress in prenatal echography. Absent tributaries of coronary sinus. Posts about dilated coronary sinus written by dr s venkatesan. Good image quality (mirror poor image quality artefacts) calcification prosthetic material tips to avoid 15m) causes of a dilated coronary sinus:

Dilated_coronary_sinus_e00715_(cardionetworks_echopedia).webm ‎(webm audio/video file, vp8, length 2.6 s, 647 × 480 pixels, 2.46 mbps overall). The ivc, svc, coronary sinus and posterior wall of atrium. Dilated coronary sinus in a fetus: In parasternal long axis view, the coronary sinus is represented by a small. Echo machines will do this calculation which is 4 times the peak velocity squared.

Volume rendering tomography showing the course of the ...
Volume rendering tomography showing the course of the ... from www.researchgate.net
Persistens rca (cx possible) echo features wall motion abnormalities dilated rv (inferior) reduced rvf. Echocardiography can not distinguish different types of dilated cardiomyopathy. The authors describe a case of an incidentally detected dilated coronary sinus resulting from a left persistent superior vena cava and the benefit of using optison versus agitated saline as a contrast. High quality ecg examples or interesting cases to contribute. It returns the majority of the blood supply for the left ventricle to the right atrium. Magnetic resonance imaging of unroofed coronary sinus. It is present in all mammals, including humans. Aortic root dilatation at the level of the sinus of valsalva (sov) is defined as greater than 95 % confidence interval of the distribution in a large reference population.

We report the circumstances leading to the detection of a dcs and.

Sequentially activating a series of adjacent crystals to. Good image quality (mirror poor image quality artefacts) calcification prosthetic material tips to avoid 15m) causes of a dilated coronary sinus: In parasternal long axis view, the coronary sinus is represented by a small. A dilated cs should not be missed in a routine tte exam, which may lead to serious problems during cardiac pacemaker implantation or coronary bypass surgery (5). Injection of agitated saline through an intravenous cannula in the left arm showed echo contrast in the left atrium and, to a. High quality ecg examples or interesting cases to contribute. The septum primum, septum secundum, and the 2d image of a phased array echo is produced by. Obstucted coronary sinus ostia dilated coronary sinus. The coronary sinus is the largest cardiac venous structure. Absent tributaries of coronary sinus. The coronary sinus is a collection of veins joined together to form a large vessel that collects blood from the heart muscle (myocardium). Aside from the above mentioned features, patients in subtle and incipient forms of dilated cardiomyopathy, contractile dysfunction may be limited to the longitudinal component (see myocardial mechanics). This is a retrospective study of 22 fetuses presenting with dcs revealed by prenatal echography.

Aortic root dilatation at the level of the sinus of valsalva (sov) is defined as greater than 95 % confidence interval of the distribution in a large reference population. Obstucted coronary sinus ostia dilated coronary sinus. It returns the majority of the blood supply for the left ventricle to the right atrium. Magnetic resonance imaging of unroofed coronary sinus. Dilatation of the ventricle is a compensatory mechanism to maintain an adequate stroke volume.

Persistent Left Superior Vena Cava Draining into the ...
Persistent Left Superior Vena Cava Draining into the ... from www.cardiologyres.org
We welcome constructive feedback and input from experts in the field, so please feel free to contact us if you have any: The ivc, svc, coronary sinus and posterior wall of atrium. Aortic root dilatation at the level of the sinus of valsalva (sov) is defined as greater than 95 % confidence interval of the distribution in a large reference population. Sequentially activating a series of adjacent crystals to. Echo imaging on page … and case discussion. Absent tributaries of coronary sinus. Persistens rca (cx possible) echo features wall motion abnormalities dilated rv (inferior) reduced rvf. The dilated coronary sinus (dcs) has only recently been clearly visualised in the fetus due to progress in prenatal echography.

The coronary sinus is the largest cardiac venous structure.

Misinterpretation as an atrioventricular canal defect // ultrasound obstet. This patient's rv systolic pressure is 32mmhg plus the estimated ra pressure. Each cavernous sinus has a close anatomical relationship with several key structures in the head. Persistens rca (cx possible) echo features wall motion abnormalities dilated rv (inferior) reduced rvf. Echo machines will do this calculation which is 4 times the peak velocity squared. It is present in all mammals, including humans. Dilated coronary sinus in a fetus: It returns the majority of the blood supply for the left ventricle to the right atrium. Therefore, incidental detection of a dilated cs in tte should prompt. Absent tributaries of coronary sinus. The dilated coronary sinus (dcs) has only recently been clearly visualised in the fetus due to progress in prenatal echography. Sequentially activating a series of adjacent crystals to. Subcostal coronary sinus echocardiography images for diagnosing total anomalous pulmonary venous return to the coronary sinus congenital heart defects.

Coronary angiographyadvances in noninvasive imaging approach for evaluation of coronary artery diseaseedited by baskot branislav coronary sinus echo. It returns the majority of the blood supply for the left ventricle to the right atrium.

Comments